良医妙手除疴疾,赤诚仁心守健康

近日,曾经在东北国际医院呼吸内科就诊的患者小卓(化名)再次走进医院,找到相熟的医生调理身体状态。说起小卓与医院结缘,还要追溯到4个月前。
2022年12月18日,东北国际医院呼吸内科历经疫情考验,重开病区恢复接诊的第一天,一位母亲在朋友圈为她已经出现“白肺”的女儿求助的信息辗转到呼吸内科林育红主任手中。傅阿姨的女儿小卓自12月9日起出现发热症状,即便吃了退烧药体温也会很快再次升高,进而出现活动时气短,至12月18日凌晨时,小卓甚至在卧床休息中也明显呼吸费力。当时各家医院呼吸内科已经接近饱和,一床难求,可女儿的病情无法等待,傅阿姨无奈,只得在朋友圈求助,试图寻找一线生机。
接到求助信息后,林育红主任迅速评估患者病情并联系了傅女士,向她介绍了科室情况,预留了治疗床位。这一通电话于傅女士来说,就如同黑暗中失去方向的人终于见到黎明的曙光,傅女士当下就联系120急救车将小卓转运到东北国际医院呼吸内科。此时的小卓,仅能端坐呼吸,高热不退,无法脱离吸氧,吸氧时的指脉氧只有76%,动脉血气结果提示氧合指数58.57mmHg,已经达到重度急性呼吸窘迫综合征的诊断标准,胸部CT结果见到肺部大片的炎性渗出影像,已经形成所谓“白肺”。小卓病情危重,严重缺氧,普通吸氧措施无法满足她身体需求,而她又有幽闭恐惧,不耐受面罩呼吸机治疗,呼吸科医生紧急为她进行经鼻高流量湿化氧疗,减少对面部压迫,不会出现幽闭感觉,接受度更高,舒适度更好,小卓终于可以顺利配合氧疗,氧合指标得到了改善,指脉氧可以维持在相对安全的90-93%。
解决患者呼吸难题后,在选择药物治疗方案时又出现了新问题。小卓因幼年时生病接受过激素治疗,导致她现在的体重超出标准体重1倍还多,体重指数(BMI)达到55kg/m2以上,使得她对激素治疗很是排斥。而在治疗病毒性肺炎的治疗方案中,糖皮质激素药物是非常重要的部分,可以减轻肺部炎症性渗出病变,减少炎性细胞因子释放,稳定细胞减少免疫损伤的作用。呼吸科医生一再为她讲解该类药物在重症病毒性肺炎治疗中的重要作用,也充分说明采取预防应对措施后,小卓才同意接受。然而,按照诊疗指南所建议的剂量用药并没有让小卓的病情快速出现改善,呼吸内科王东亮主任立即重新组织病情讨论,考虑患者特殊的体质,常规剂量药物不能控制,综合评估患者病情后,将小卓的糖皮质激素药物增加剂量,同时做好了补充电解质、补钙、保护胃粘膜等等防止药物不良反应的措施。
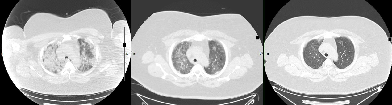
患者的胸部CT变化
调整抗炎抗前病毒治疗方案后,小卓情况日渐好转,指脉氧和氧合指数稳步回升,再次复查胸部CT,肺部炎性病灶明显吸收,不再是“白肺”了!看着女儿可以脱离氧气在床边走动,指氧仍可以维持在95%以上,傅阿姨终于放下心来。后续,经治医生马医生又帮小卓联系了营养科门诊进行饮食指导,改善代谢状态;联系了中医科进行后续调整免疫力,改善特异体质。
健康所系,性命相托。东北国际医院呼吸内科始终践行医者初心使命,主动应对挑战,不断积累经验、提升本领,以赤诚的仁爱之心为患者服务,用实际行动守护人民群众的生命健康。

供稿:呼吸内科
编辑:企划部
Northeast International Hospital

温
馨
提
示



