双线并行,呼吸内一科全力“白肺”患者开启新生之路

元旦过后,节日的欢乐气氛还未散去,洪叔(化名)一家却是愁肠百结,仍沉浸在忧虑之中。洪叔因持续的喘息和呼吸困难,已在两家医院间辗转。他的病情日益严重,某医院的胸部CT显示他的双肺已近乎“白肺”,这无疑给他的治疗带来了极大的挑战。面对这样的困境,洪叔一家毅然决定转至我院寻求希望。
面对这位病重患者,呼吸内一科的医护人员展现出了坚定的决心。在科主任林育红的带领下,他们仔细研究了患者的病史,反复核查了化验结果,在众多复杂信息中,终于找到了治疗的方向。综合考虑患者的各项检查,他们认为有两个关键问题需要解决:一是考虑患者患有肺孢子菌病;二是他的心功能不全已引发了肺水肿。
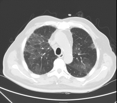
明确了治疗方向后,医护人员迅速展开了有条不紊的救治工作。既然有两个问题需要同时处理,那么救治方案必须“双管齐下”,全面而细致。经过积极的抗真菌、抗炎治疗以及改善心功能等措施,洪叔的血氧状况很快得到了改善,从经鼻高流量吸氧逐渐过渡到鼻导管吸氧,活动耐量也逐步恢复。复查胸部CT显示,病变部分有了明显的改善。




胸部CT对比:治疗前(左),治疗后(右)
看到洪叔的身体状况和各项指标日益好转,一家人的心情也由焦虑转为喜悦。洪叔的康复不仅是他个人的胜利,也是东北国际医院呼吸内一科全体医护人员共同努力的成果。如今,洪叔已经顺利出院,他的康复之路仍在继续,但东北国际医院呼吸内一科医护人员的专业与付出,无疑为他铺设了一条通向健康的道路。
深耕医学,践行仁心仁术;勇攀高峰,不负生命重托。在过去的一年里,东北国际医院呼吸内一科的医护人员,秉持着对医学的深度热爱与执着,始终坚守在救治病患的第一线。他们以仁心仁术为行医之本,以实际行动践行着医者的誓言。面对新冠、甲流、支原体等各种呼吸道感染的挑战,他们从未退缩,加开门诊,拓展床位,全力以赴地投入到救治工作。他们的努力与付出,不仅让病患得到了及时有效的治疗,也赢得了患者和家属的极高赞誉。未来,东北国际医院呼吸内一科的医护人员将继续秉承“为人民健康服务”的宗旨,用专业与关爱为每一位患者护佑生命,点亮希望之光。

供稿:呼吸内一科
编辑:企划部
审核、校对:呼吸内一科
Northeast International Hospital

温
馨
提
示


