不负希望完成挑战性高难度翻修手术
东北国际医院 次 (0)次
刘大爷今年65岁了,7年前,他因为股骨头坏死而做了双侧人工髋关节置换。近一年来他右侧髋关节时常疼痛难忍,活动大不如从前,基本出不了门,走不了远路,只能憋在家里望天。

“我才60多岁,以后的日子可怎么办?”全家人为刘大爷寻门问医,终于打听到东北国际医院骨科主任张敬东在关节置换、翻修方面造诣颇深,刘大爷重燃起了希望,心里祈祷着张敬东主任能医得好自己。
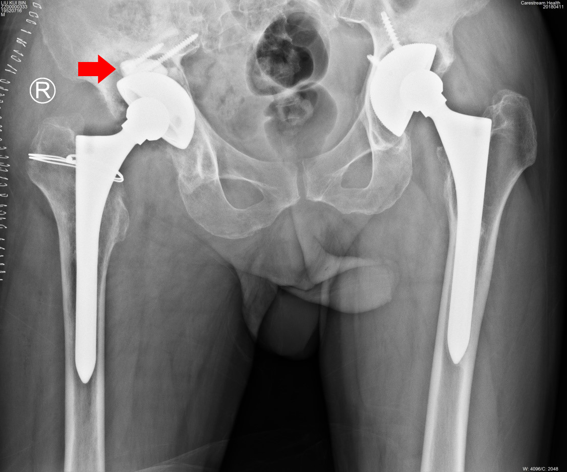
经过全面检查,刘大爷确实是“右髋关节置换术后假体松动”,唯一的解决办法就是翻修手术,但手术难度非常大。张敬东主任耐心详细地向刘大爷交待着病情,把手术的难度一一讲述清楚:由于假体松动时间较长,髋臼侧骨量低,尤其是在髋臼上壁存在空腔型骨缺损,直接影响手术术式及治疗效果;7年前的假体直径60mm,属于大杯,翻修手术时需要直径更大的型号,才能保证术中假体安装的稳定性,然而大杯就面临着更大的骨量丢失;初次置换使用的假体型号特殊,原厂家已停产,其他厂家不匹配。张主任说:“如果要做这个翻修手术,既要保证刘大爷骨量不丢失太多,又要保证即刻及长期的稳定性,还要找到能与刘大爷匹配的假体。”
经过全面检查,刘大爷确实是“右髋关节置换术后假体松动”,唯一的解决办法就是翻修手术,但手术难度非常大。张敬东主任耐心详细地向刘大爷交待着病情,把手术的难度一一讲述清楚:由于假体松动时间较长,髋臼侧骨量低,尤其是在髋臼上壁存在空腔型骨缺损,直接影响手术术式及治疗效果;7年前的假体直径60mm,属于大杯,翻修手术时需要直径更大的型号,才能保证术中假体安装的稳定性,然而大杯就面临着更大的骨量丢失;初次置换使用的假体型号特殊,原厂家已停产,其他厂家不匹配。张主任说:“如果要做这个翻修手术,既要保证刘大爷骨量不丢失太多,又要保证即刻及长期的稳定性,还要找到能与刘大爷匹配的假体。”

医者仁心,以德为先。看着刘大爷充满渴望的双眼,张主任决定克服一切,用精湛的技术迎难而上,为刘大爷做这个极具挑战性的手术。于是,张主任同步开始着一系列的准备工作。一方面联系假体生产厂家,说明情况,请厂家想尽一切办法解决假体问题;另一面组织全科室多次反复地讨论刘大爷的病情,最终制定出了最佳手术方案:只翻修髋臼侧,选用强生公司髋臼垫块(GRIPTION TF)系统解决髋臼缺损问题,保留刘大爷股骨柄假体及原球头,术中尽量使用生物固定,以保存刘大爷的骨量及术后恢复。
手术当天,医护人员以最饱满的精神状态与刘大爷一起进入手术室,一切操作按照术前设计的最佳方案稳步进行着。功夫不负有心人,手术十分顺利,达到了预期效果。刘大爷术后恢复也十分理想,出院前,不住地赞叹骨科全体医护人员的高尚医德,夸赞东北国际医院是人民百姓的健康守护神。
手术当天,医护人员以最饱满的精神状态与刘大爷一起进入手术室,一切操作按照术前设计的最佳方案稳步进行着。功夫不负有心人,手术十分顺利,达到了预期效果。刘大爷术后恢复也十分理想,出院前,不住地赞叹骨科全体医护人员的高尚医德,夸赞东北国际医院是人民百姓的健康守护神。
上一篇: 滑雪骨折的爱美女士不再为“瘢痕”苦恼
下一篇: 肩周炎的新疗法

