胸部CT检查的适应症及注意事项
秩名 次 (0)次
胸部CT扫描的适应证:
1.纵隔纵隔肿瘤,并能准确地显示病变的性质、大小及范围。可发现有无淋巴结的肿大,显示病变与周围结构的关系。
2.肺脏肺内的良恶性肿瘤、结核、炎症和间质性、弥漫性病变等。对肺门的增大,可以区分是血管性结构还是淋巴结肿大。
3.胸膜和胸壁能准确定位胸膜腔积液和胸膜增厚的范围与程度,鉴别包裹性气胸与胸膜下肺大泡,了解胸壁疾病的侵犯范围及肋骨和胸膜的关系,了解外伤后有无气胸、胸腔积液及肋骨骨折等情况。
胸部CT扫描的准备事项:
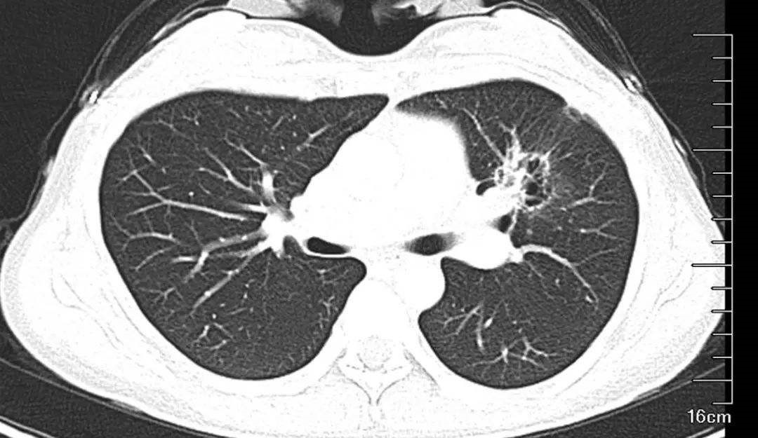
患者需要摘掉胸部周围的所有金属物品,如:女性内衣、项链等;在检查过程中能够听到机器的语音提示:吸口气、憋住,要严格执行,有些年纪大耳背或者比较紧张的患者憋气不佳,就会出现呼吸伪影,影像诊断效果。
未憋住气的效果
憋住气的效果
1.纵隔纵隔肿瘤,并能准确地显示病变的性质、大小及范围。可发现有无淋巴结的肿大,显示病变与周围结构的关系。
2.肺脏肺内的良恶性肿瘤、结核、炎症和间质性、弥漫性病变等。对肺门的增大,可以区分是血管性结构还是淋巴结肿大。
3.胸膜和胸壁能准确定位胸膜腔积液和胸膜增厚的范围与程度,鉴别包裹性气胸与胸膜下肺大泡,了解胸壁疾病的侵犯范围及肋骨和胸膜的关系,了解外伤后有无气胸、胸腔积液及肋骨骨折等情况。
胸部CT扫描的准备事项:
患者需要摘掉胸部周围的所有金属物品,如:女性内衣、项链等;在检查过程中能够听到机器的语音提示:吸口气、憋住,要严格执行,有些年纪大耳背或者比较紧张的患者憋气不佳,就会出现呼吸伪影,影像诊断效果。
未憋住气的效果
憋住气的效果
上一篇: 新设备、新眼界、给您全新体验

