不用手术,放疗亦可根治肺癌
放疗科提供 次 (0)次
59岁的陈女士平素身体健康,2019年2月陈女士出现咳嗽、气短。因为没有影响生活,陈女士并未在意,间断咳嗽了3个月仍没有好转的迹象,在家人的催促下进行了肺部CT检查提,检查的报告单上提示右肺上叶占位(肺癌可能性大),看到报告后家人万分着急,医生告诉陈女士一家,要想进一步明确诊断,需要进行支气管镜检查,按照医生的安排,陈女士接受了支气管镜检查,经过病理确诊为化差的鳞状细胞癌。医生对陈女士说,因为肿瘤没有全身扩散,可以选择手术治疗,但是陈女士本人拒绝了手术治疗,陈女士的女儿们为了给母亲最好的治疗,多方打听后来到东北国际医院放疗科就诊,接诊的医生是放疗科的金河天主任,得知患者的需求后便耐心的其进行讲解,金主任说道:目前真有不用手术就能达到根治的治疗方法,这种方法叫做根治性的放疗,同时联合化疗。您的体质很好,且没有基础疾病,完全可以接受放化疗。陈女士及其家人听后信心满满,便接受了系统的治疗安排,经过5个月的治疗,陈女士顺利的完成了所有的治疗。如今陈阿姨恢复良好,肺部病灶已经完全消失,得到了与手术治疗相同的临床效果。陈女士及女儿多次表示对放疗科的贴心护理、暖心服务及精湛的技术称赞。现在陈女士恢复了健康,家里又充满了欢笑。
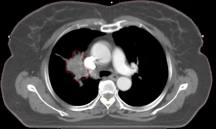
红色圈内代表病灶

治疗结束后复查病灶消失

根治性放疗:目的是消灭肿瘤,把肿瘤彻底的消灭掉,让肿瘤完全消退。对于老年人不能耐受手术或不愿意接受手术的早中期肺癌患者可以达到与手术治疗相当的疗效;对于喉癌、下咽癌可以很好的保留器官功能;对于鼻咽癌,因解剖结构的特殊性,放疗作为首选治疗手段疗效确切。
病房咨询电话024-62369297
红色圈内代表病灶

治疗结束后复查病灶消失

根治性放疗:目的是消灭肿瘤,把肿瘤彻底的消灭掉,让肿瘤完全消退。对于老年人不能耐受手术或不愿意接受手术的早中期肺癌患者可以达到与手术治疗相当的疗效;对于喉癌、下咽癌可以很好的保留器官功能;对于鼻咽癌,因解剖结构的特殊性,放疗作为首选治疗手段疗效确切。
病房咨询电话024-62369297
上一篇: 为什么直肠癌术前要进行新辅助放化疗?
下一篇: 疼痛规范病房,解决癌痛顽疾

