“瓷化”胆囊
赵鑫蕊 次 (0)次
“瓷化”胆囊
胆囊的解剖:
胆囊位于右上腹,肝脏的下缘,附着在肝脏的胆囊窝里,借助胆囊管与胆总管相通。外型呈“梨型”,长约7-9cm,宽约2.2-3.5cm,容积为30-50ML,分为底、体、颈三部。底部游离,体部位于肝脏脏面的胆囊床内;颈部呈囊状,结石常嵌顿于此。胆囊管长约2-4cm,直径约0.3cm,其内有螺旋式粘膜皱襞,有调节胆汁出入作用。


胆囊的功能
1.储存和浓缩胆汁
2.排泄胆汁
3.分泌功能
瓷化胆囊,这一概念1959年由Cornell首次报道并提出,是指由胆囊壁钙化而形成的一种质硬、易碎、呈淡蓝色的特殊病理类型的胆囊。
发病机制
目前瓷化胆囊的发病机制尚不明确,有人推测可能与慢性胆囊炎长期刺激有关,也有人认为瓷化胆囊是胆囊结石的并发症之一,由于胆道的梗阻引起碳酸钙沉积,可促进胆囊壁钙化。
临床表现
瓷化胆囊患者临床症状无特异性,多数表现为胆绞痛和胆囊炎的症状,多为右上腹间断性隐痛,部分可放射至肩背部,也可有发热、恶心、呕吐等症状,约1/3的患者可无任何临床症状,只是在体检中偶然发现。
影像表现


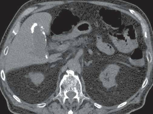
CT表现:胆囊壁呈均匀或不均匀的环状、条状或斑点状高密度影
分型
I型:胆囊壁完全环形钙化
II型:胆囊壁呈部分曲线状钙化
III型:胆囊壁散在斑点状钙化


病例
患者某,女,80岁,因右上腹绞痛,伴呕吐几小时就诊,病人经保守治疗症状消失,离开急诊科,一个月后,突发黄疸、弥漫性腹痛,伴发热、寒战再次就诊。


病理诊断
瓷化胆囊
胆囊腺癌侵犯邻近肝组织
治疗
针对瓷化胆囊理论上应行胆囊摘除治疗,可以考虑腹腔镜下胆囊切除或剖腹手术切除
上一篇: 脊髓栓系综合征

