食管癌新辅助放疗的价值
放疗科提供 次 (0)次
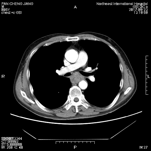
2017年6月潘老先生因进食出现哽咽进行胃镜检查确诊为食道鳞癌。以前身体一向健康的潘老先生一家得知这一消息后万分着急。其女儿一心想要为老父亲治好病,经过辗转打听,来到东北国际医院。在放疗科门诊,为进行更准确的分期,金主任为患者进行胸部增强CT检查,检查结果发现食管中段病变部分与左主支气管起始部后壁分界不清,左主支气管起始部后壁局部毛糙,连续性未见中断。并且经外科评估暂无手术指征,经过多学科会诊,制定治疗方案为先行新辅助放疗。同年8月,潘老先生开始接受放疗,放疗后1个月再次复查胸部增强CT:气管隆突与病变处可见脂肪间隙,左主支气管结构清晰完整,未见浸润生长。经外科再次评估,于2017年11月03日行食管癌根治性手术,术后患者恢复良好。如今潘老先生又恢复到正常生活。
放疗前

放疗前

放疗后


新辅助治疗对比术后辅助治疗的优势之一就是新辅助治疗作为标准模式更易被完成,新辅助治疗可以通过使原发灶缩小,控制淋巴结转移和微转移来提高切除率并改善长期生存。
上一篇: 肺癌狙击手:体部立体定向放疗
下一篇: 头部伽马刀治疗脑转移瘤(一)

