头部伽马刀--脑部肿瘤康复神器
放疗科提供 次 (0)次
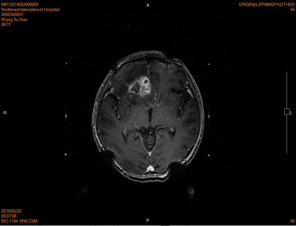
王女士今年67岁,今年5月的一天突然出现癫痫发作,检查头部MRI检查提示:右侧额叶、侧脑室旁多发占位病变,伴右侧脑室受压变窄略向左侧移位,考虑为恶性病变可能性大,多发转移瘤?较大者位于右侧额叶皮层下,范围约3.1*3.1*3.3cm。老人家身体一向健康,面对突入起来的癫痫发作,其儿子更是不敢掉以轻心,四处打听后他了解到针对其母亲的病情,目前治疗脑部肿瘤最好的手段是头部伽马刀。接诊该患者时清楚的记得患者入院时轮椅推入,因头晕而不能行走,表情痛苦。收住院的第二天,殷主任就为患者安排了治疗,治疗后住院观察期间,患者的头晕情况有所缓解,按照出院医嘱,老人家1个月后按时来院复查,刚进病房,看家老人家微笑的脸庞,不再头晕,而且走起路来神采奕奕,复查的头部MRI的结果也令人很满意,肿瘤基本已经消退,治疗头部伽马刀的殷主任说,在3个月内肿瘤还会继续消退的。
治疗前

治疗1个月后复查

治疗前

治疗1个月后复查

上一篇: 头部伽马刀治疗脑转移瘤(七)
下一篇: 头部伽马刀治疗脑转移瘤(八)

