闯过数道难关 好医生让他重获新生! 不畏挑战,勇于突破——普通外二科成功完成胰十二指肠根治性切除术 不用手术,根治肺癌,放疗“大显身手” 从体检发现左肾肿瘤到手术治疗,他只用了3天时间!

从体检发现左肾肿瘤到手术治疗,他只用了3天时间!

东北国际医院 136

        一个月前,38岁的吴先生来到东北国际医院进行体检,腹部CT结果显示“左肾肿瘤”,体检结果让吴先生顿时慌了,不知所措。东北国际医院立即启动“TED”通道(即肿瘤专家快速直诊通道),门诊及时将吴先生情况上报,泌尿外科郑凯主任等相关专家迅速就位“直面”患者,第一时间详细查看患者资料。

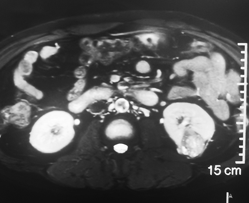
腹部CT显示“左肾肿瘤”
        泌尿外科郑凯主任看过吴先生的影像资料后,考虑该肿瘤为恶性,需手术治疗。随后,郑凯主任组织全科医师进行术前病例讨论,肿瘤体积为3x4x3cm,适合行保留肾脏的肿瘤切除术——肾部分切除术。郑凯主任随后患者及家属沟通:吴先生的肿瘤发现比较早,这是不幸中的万幸,需及早手术根治肿瘤,还可以保住左侧肾脏。不然,随着肿瘤增大,全切左肾,可能导致肾功能下降,从而增加慢性肾病风险。专家团队科学的分析及建议,再加上患者了解到的郑凯主任团队资历深厚,马上决定接受手术治疗。 
        经过充分的术前准备后,患者被推进了手术室。肾组织脆弱,肾部分切除后的止血、缝合难度大,因止血困难,手术缝合肾脏创面所需时间更长。术者需保证在阻断肾动脉的20—30分钟内完成肾脏肿瘤切除、止血及创面缝合全部操作,这对术者的技术有很高要求。郑凯主任带领团队经过游离肾脏、暴露肿瘤、阻断肾动脉、切除肿瘤后,快速地对创面进行缝合,手术非常顺利,各项操作一气呵成,肾动脉阻断时间被控制在25分钟。在郑凯主任带领的泌尿外科医疗团队以及麻醉科、手术室护理人员的共同团结协作下,用时两个半小时,患者左肾肿瘤成功切除。术中,肿瘤纵行剖开后见其内“鱼肉样”组织,符合恶性肿瘤表现。术后,病理证实肿瘤为恶性。目前,患者已康复出院。
        东北国际医院泌尿外科郑凯主任提醒广大患者:恶性肿瘤的趋势越来越年轻化,年轻人也要注意定时体检,一旦发现肿瘤应及早治疗。东北国际医院实行的肿瘤专家快速直诊通道真正简化流程,提高就诊效率,举全院之力“一站式”解决肿瘤患者诊疗难题,为患者提供更好的选择。

院报导航 搜索